歯を失った際の治療には、入れ歯やブリッジなど複数の選択肢があります。その中でインプラント治療は、顎の骨に人工歯根を埋め込み、その上に独立した歯を補う手法として検討されます。尼崎市でインプラント治療を検討されている方の中には、「天然歯のようにしっかり噛みたい」「周囲を気にせず笑いたい」「入れ歯のズレや違和感を解消したい」という切実な思いをお持ちの方も多いはずです。兵庫県尼崎市のインプラント専門歯科 永井歯科・矯正歯科では、尼崎市で噛み合わせまで考慮したインプラント治療を行い、診査・診断に基づいて、お口全体のバランスを重視した治療計画をご提案しています。
詳しくはこちら

初診から治療計画、インプラント埋入、最終補綴まで、日本口腔インプラント学会専門医・ICOI指導医が一貫して監修します。歯の欠損やボロボロの状態など、複雑な処置が必要なケースに対しても、一人の医師が経過を継続して確認する体制です。

「骨が少ない」「噛み合わせが崩れている」「他院で困難と言われた」等の症例に対し、再生外科(GBR・サイナスリフト等)や、咬合認定医の知見を用いた噛み合わせの再構築を組み合わせています。お口全体の機能維持を目的とした治療計画を立案します。

インプラント治療では、CTによる3D解析、術前シミュレーション、サージカルガイド、マイクロスコープなど、医療機器を活用した精密な診断・設計を行っています。術前のシミュレーションや多職種カンファレンスを組み合わせることで、治療の見通しを患者様と共有しながら進められる体制です。

歯科治療が苦手な方や長時間の手術に不安がある方には、日本歯科麻酔学会専門医による静脈内鎮静法を併用した治療を提供しています。うとうとと眠っているような状態で処置を受けられるため、精神的・身体的な負担を抑えた診療が可能です。

歯科技工士が常駐する技工所を併設し、仮歯の製作や色調調整を迅速に行える体制を構築しています。医師・衛生士・技工士・麻酔医がそれぞれの役割から連携し、規格化された手順に沿った治療プロセスの提供に努めています。

ノーベルバイオケアやバイコンなど、実績のあるメーカーのインプラント体を採用しています。また、専用オペ室、クリーンエアシステム、クラスB滅菌器、ガス滅菌器など、衛生管理基準に配慮した設備を導入し、診療環境の維持を徹底しています。
歯を失った方や複数の歯に問題を抱え、咀嚼が困難な方に対し、永井歯科・矯正歯科ではインプラント治療を選択肢の一つとして提案しています。尼崎市で噛み合わせを考慮したインプラント治療を希望される方に対し、単に歯を補うだけでなく、お口全体のバランスを確認しながら治療を進めます。術前にはCTによる三次元診断を行い、シミュレーションやサージカルガイドを用いて客観的なデータに基づいた埋入位置を検討します。骨量が不足している場合には、GBRやサイナスリフト等の骨造成を併用した計画も検討可能です。インプラント単体の修復に留まらず、噛み合わせ(咬合)や将来的なお口への負担を考慮し、長期的な視点での機能維持を目指します。
「多くの歯を失った」「総入れ歯以外の選択肢を探している」といったご相談に対し、当院では全顎的な欠損治療の手法であるAll-on-4に対応しています。これは、顎骨の状態に適した角度で複数本のインプラントを埋入し、少ない本数で一体型の広範囲な歯を支える治療法です。計画段階では、顎骨の質や量だけでなく、尼崎市で噛み合わせに悩む方に多い咬合の乱れについても精査し、治療後の生活への影響を考慮した設計を行います。All-on-4はすべての方に適した治療法ではないため、検査結果をもとに適応を慎重に判断します。骨量が少ない症例でも適応できる場合がありますが、すべての方に適した手法ではないため、検査結果に基づき慎重に判断します。咬合再建の知見に基づき、治療後の日常生活への影響も考慮しながら、お口全体の管理を行います。
「入れ歯のズレや痛み」「金属の留め金が目立つ」といったお悩みに対し、当院ではドイツ式入れ歯(テレスコープ義歯)という選択肢も用意しています。これは一般的な部分入れ歯とは異なり、残っている歯に内冠を取り付け、その上からはめ込み式の外冠(入れ歯)を装着する二重構造の設計が特徴です。金属のバネを使用しないため、周囲から入れ歯であることが分かりにくい構造となっており、装着時の安定性にも優れています。お口の状態によっては就寝時も外さずに使用できるケースもあります。また、残存歯への力の分散を考慮した設計が可能なため、「支えとなる歯を長持ちさせたい」という方に対しても、診査結果を踏まえた最適な治療案を提案いたします。
詳しくはこちら
他院で受けたインプラント治療後の「腫れ」「違和感」「脱落」といった、現在の状態に関するご相談も受け付けています。当院ではCT検査等を実施し、骨の吸収状況やインプラントの位置、噛み合わせの状態を確認したうえで、原因の分析を行います。状態に応じて、骨再生治療(GBR)や再埋入の検討、噛み合わせの再評価を含めた治療計画を立案します。すべての症例で再治療が可能とは限りませんが、検査結果に基づき、現在どのような対応が可能であるかを丁寧に説明いたします。
尼崎市のインプラント専門歯科 永井歯科・矯正歯科 院長の永井 康照です。歯科医師として診療に携わる中で、インプラント治療、入れ歯治療、噛み合わせ治療を中心に、診査・診断から外科処置、補綴設計、治療後の管理まで幅広く経験を積んできました。治療方法は一つではなく、お口の状態やご希望、全身の健康状態によって選択肢は変わります。当院では、現在の状態を丁寧に把握したうえで、治療内容・期間・費用・注意点について分かりやすくご説明し、患者様と一緒に治療を検討していくことを大切にしています。
詳しくはこちら
「骨の状態によりインプラントが困難」「噛み合わせの再構築が必要」 そうした複雑な症例に対し、客観的な診査・診断に基づいた複数の選択肢を提示するため、当院では国内外の学術団体における専門的な研鑽を継続しています。院内に掲示している認定証や修了証は、科学的根拠に基づいた治療計画を立案するための、知識と技術の習得を示すものです。日本口腔インプラント学会専門医や、国際的なインプラント学術団体(ICOI)指導医(Diplomate)といった認定資格は、特定の術式や管理体制において一定の基準を満たしていることを証明しています。年間埋入本数418本(2025年1月〜12月当院実績)という実績は、こうした地道な研鑽と、症例ごとの丁寧な振り返りによって積み上げられたものです。私たちは、現在のお悩みに対し、学会が示すガイドラインに沿った適切なアプローチをもって、お口の健康を支える治療計画を共につくり上げることを大切にしています。


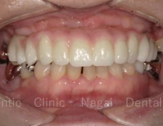
| 治療内容 | 上顎 All on 4(オールオンフォー/インプラント固定式補綴) |
|---|---|
| 年齢/性別 | 60代/女性 |
| 背景 | 歯の不調を感じながらも、さまざまなご事情から10年以上歯科医院へ通われていませんでした。上顎は右側のブリッジや前歯の差し歯が外れた状態で、左側にもむし歯が見られました。食事はやわらかいものを中心に摂取できていましたが、「しっかり噛めるようになりたい」という強いご希望をお持ちでした。精密検査の結果、上顎の歯は中長期的に残せる歯が少ない状態であることが分かりました。そこで、上顎はインプラントとブリッジを組み合わせたAll-on-4による治療をご提案しました。下顎については、奥歯の状態は良好とは言えないものの、前歯に比較的良い歯が残っており、またご予算のご事情も踏まえ、今回は治療を行わない方針としました。将来的に下顎の治療を行う際にもバランスよく仕上がるよう、上顎の補綴設計を患者様と相談しながら決定しています。 |
| 治療期間 | 約6か月(通院10回) |
| 費用 | 3,359,400円(税込) |
| リスク/副作用 | インプラント治療は、全身状態や持病、骨の状態によっては適応できない場合があります。 |


| 治療内容 | 上下シュトラック義歯(下顎は2本の既存インプラントを用いたオーバーデンチャー:2IOD) |
|---|---|
| 年齢/性別 | 80代/女性 |
| 背景 | 上下ともにインプラントを用いた総入れ歯を装着されていましたが、「食事中に動いて外れる」というご相談をいただきました。検査の結果、既存のインプラント配置が入れ歯の沈み込みを妨げ、シーソーのような揺れ(転覆)の原因となっていることが判明しました。 |
| 治療期間 | 4か月(通院7回) |
| 費用 | 2,640,000円(税込) |
| リスク/副作用 | 高齢や持病の状態により、外科処置が困難な場合があります。また、清掃を怠るとインプラント周囲炎が生じる可能性があるため、定期的なメンテナンスが必要です。 |
歯を失った場合、入れ歯やブリッジが選択されることもあります。入れ歯は取り外しが可能で、比較的広い範囲に対応できる一方、噛み合わせの違和感や清掃の手間を感じる方もいます。ブリッジは固定式であるものの、支えとなる歯を削る必要があり、長期的な負担が生じる場合があります。インプラントは顎の骨に固定する構造のため、治療結果には個人差があり、口腔内の状態や治療内容によって異なります。外科的処置を伴うため、事前の説明と理解が不可欠です。治療方法ごとの特徴を理解したうえで、ご自身に合った方法を選ぶことが重要です。
歯を多く失っている場合、All-on-4と呼ばれる治療方法が検討されることがあります。これは、少数のインプラントを支えとして、片顎全体の歯を固定する治療方法です。All-on-4はすべての方に適応されるものではなく、顎の骨の状態や噛み合わせ、生活習慣などを考慮する必要があります。兵庫県尼崎市のインプラント専門歯科 永井歯科・矯正歯科では、All-on-4を含め、インプラント1本から複数本まで幅広い治療方法について説明し、患者様が理解・納得したうえで検討できる環境づくりを行っています。
詳細はこちら
永井歯科・矯正歯科は、入れ歯・インプラントを専門に診療する歯科医院です。当院のインプラント治療は、単に「歯を入れる」ことを目的にするのではなく、噛み合わせ(咬合)や将来の負担まで含めて、 お口全体を見たうえで治療計画を立てることを大切にしています。初診ではカウンセリングを行い、レントゲン・口腔内検査、必要に応じてCT検査や模型診断などを組み合わせて状態を確認します。骨の量や質、欠損の範囲、噛み合わせの条件を踏まえ、GBR・サイナスリフト等の骨造成を含めた計画や、 All-on-4、インプラントオーバーデンチャー(ずれない入れ歯)などの選択肢も検討します。また、他院で行ったインプラントの不具合についても、CT等で状態を把握したうえで、原因を分析し、再治療の可否や方針をご説明します。すべてのケースで同じ治療が適応になるわけではありませんが、検査結果に基づき「何ができて、何が難しいのか」を整理し、 治療内容・治療期間・費用を含めた複数の治療計画をご提案します。一人ひとりに十分なお時間を確保するため、対応できる人数には限りがあります。その分、専門性を必要とする方のご相談に、丁寧に向き合うことを重視しています。
CT・パノラマ・セファロの3役を担うレントゲンを導入し、顎の骨の形状や神経の位置を三次元的に把握します。さらに、口腔内スキャナーを活用することで、従来の型取りによる負担を軽減。得られた精密なデジタルデータを元に、院内の歯科技工士と連携し、精度の高い被せ物やインプラント上部構造をスピーディーに製作することが可能です。
院内に専用の技工所を併設し、インプラントや入れ歯に特化した歯科技工士が常駐しています。一般的な外部委託による大量生産とは異なり、歯科医師と技工士が直接意見を交わしながら、患者様固有の噛み合わせや顎の動きを反映させたオーダーメイドの義歯を丹念に製作します。デジタル技術と熟練の技術を融合させ、微細な調整にも迅速に対応できる体制を構築しています。
歯科治療への強い恐怖心や、長時間の外科処置に不安を感じる方のために、日本歯科麻酔学会専門医による静脈内鎮静法に対応しています。点滴による麻酔を用いることで、うとうとと眠っているような状態で処置を受けられ、術中の緊張やストレスを大幅に軽減することが可能です。生体情報モニターで全身状態を厳密に管理しながら、負担を抑えた手術を追求しています